- Polecane
- Endokrynologia
- Okulistyka
- Ortopedia
- Stomatologia
- Alergologia
- Kardiologia
- Ginekologia
- Dermatologia
- Neurologia
- Laryngologia
- Urologia
- Pulmonologia
- Diabetologia
- Zdrowie
- Odżywianie i Diety
- Pediatria
- Badania i diagnostyka
- proktologia
- Psychiatria i psychologia
- Reumatologia
- Hematologia
- Onkologia
- Chirurgia
- Czasopismo OSOZ
- Nefrologia
- Gastrologia
- Medycyna estetyczna
Chrzęstniak – rodzaje, diagnostyka. Jak przebiega leczenie chrzęstniaka?
- Publikacja:
- 2020-12-07 12:09
- Aktualizacja:
- 2023-12-06 11:24
Chrzęstniak to nowotwór tkanki chrzęstnej, należący do grupy nowotworów niezłośliwych. Choroba ta rozwija się zazwyczaj łagodnie i powoli, a wykrycie jej nie musi oznaczać trudnego i długotrwałego leczenia. Jak rozpoznać chrzęstniaka? Na czym polega jego leczenie?

Czym jest chrzęstniak?
Chrzęstniak jest łagodnym nowotworem, spotykanym głównie u osób młodych (najczęściej przed 30. rokiem życia). Zazwyczaj rozwija się powoli i przez długi czas nie daje żadnych objawów, dlatego często wykrywany jest przypadkowo. Chrzęstniak wywodzi się z tkanki chrzęstnej, która jest jednym z typów tkanki łącznej. Tkankę chrzęstną charakteryzuje brak unerwienia i unaczynienia. Występuje ona w trzech postaciach:
- tkanka chrzęstna szklista – zawiera dużą ilość włókien kolagenowych, tworzy między innymi: chrząstki krtani, nosa, oskrzeli oraz powierzchnie stawowe,
- tkanka chrzęstna włóknista – znajduje się w miejscach przyczepu ścięgien do kości oraz w krążkach międzykręgowych,
- tkanka chrzęstna sprężysta – wyróżnia się dużą elastycznością, występuje w małżowinie usznej, przewodzie w narządzie słuchu, nosie i małych chrząstkach krtani.
Chrzęstniaki wywodzą się z tkanki chrzęstnej szklistej i rozwijają się zwykle w kościach długich.
Umów się do ortopedy
Rodzaje chrzęstniaka
Chrzęstniaki występują pojedynczo lub gromadnie. Ze względu na lokalizację dzieli się je na trzy podstawowe rodzaje: chrzęstniak śródkostny – występujący wewnątrz kości, chrzęstniak przykostny – występujący na zewnątrz kości oraz chrzęstniak tkanek miękkich, który zlokalizowany jest poza szkieletem.
Chrzęstniak śródkostny
Chrzęstniak śródkostny rozwija się wewnątrz kości. Występuje on najczęściej w kościach dłoni i stopy, ale może być też zlokalizowany w kości udowej, piszczelowej lub kości ramiennej. Zwykle nie powoduje bólu, ale może doprowadzić do złamania kości.
Chrzęstniak przykostny
Chrzęstniak przykostny powstaje po zewnętrznej stronie kości. Występuje najczęściej na kościach kończyn – komórki chrzęstne namnażają się zazwyczaj pomiędzy kością a okostną. Spotykany jest zdecydowanie rzadziej niż chrzęstniak śródkostny.
Chrzęstniak tkanek miękkich
Chrzęstniak tkanek miękkich rozwija się poza kośćmi, zazwyczaj w okolicy ścięgien lub więzadeł.
Objawy chrzęstniaka
W początkowej fazie chrzęstniak zazwyczaj nie daje żadnych objawów i często wykrywa się go przypadkowo, np. podczas badań wykonywanych z powodu innego schorzenia. Zaawansowane chrzęstniaki mogą doprowadzić do złamań kości lub powodować uczucie bólu. Powstałe objawy zależą w dużej mierze od typu chrzęstniaka oraz jego lokalizacji. Chrzęstniak przykostny może być wyczuwalny pod powierzchnią skóry w postaci zgrubienia. Chrzęstniak śródkostny może natomiast osłabić strukturę kości i sprawić, że stanie się ona podatna na złamania.
Diagnostyka chrzęstniaka
W przypadku podejrzenia u siebie obecności chrzęstniaka należy udać się do lekarza POZ, który po przeprowadzeniu wywiadu może skierować pacjenta do lekarza ortopedy. Wizytę u wybranego lekarza możesz zarezerwować bez wychodzenia z domu za pomocą portalu LekarzeBezKolejki.pl.
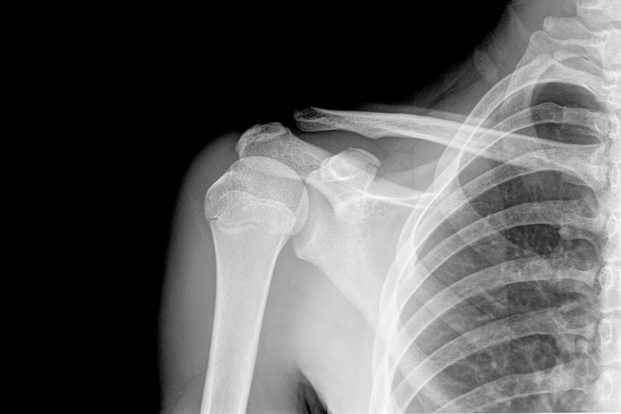
Aby potwierdzić wystąpienie chrzęstniaka i określić stopień zaawansowania zmiany, należy przeprowadzić odpowiednie badania obrazowe: zdjęcie rentgenowskie (RTG), tomografię komputerową (TK) lub rezonans magnetyczny (MRI). O łagodnym charakterze zmiany świadczy brak oznak zniszczeń na otaczających tkankach oraz powtarzalne wyniki badań obrazowych, wykonywanych w równych odstępach czasu. Ostateczne rozpoznanie można uzyskać po przeprowadzeniu badania histopatologicznego.
Leczenie chrzęstniaka
Każdy chrzęstniak wymaga indywidualnego doboru metody leczenia, w zależności od stopnia jego zaawansowania, wielkości oraz objawów klinicznych. Chrzęstniak łagodny, bezobjawowy nie wymaga specjalistycznego leczenia, wystarczy regularna obserwacja lekarska.
W przypadku dużych chrzęstniaków, powodujących zmiany w strukturze kości lub utrudniających normalne funkcjonowanie konieczne jest wykonanie operacyjnego usunięcia chrzęstniaka. Leczenie to polega na wyłyżeczkowaniu zmiany oraz wypełnieniu ubytku w kości przeszczepami kostnymi. Po operacji należy poddać się rehabilitacji, która umożliwi szybki powrót do pełnej sprawności.
Autor
Redakcja lekarzebezkolejki.pl - W skład zespołu redakcyjnego portalu LekarzeBezKolejki.pl wchodzą wykwalifikowani farmaceuci. Ich bogate doświadczenie zawodowe i gruntowna wiedza nabyta na studiach farmaceutycznych umożliwiają tworzenie wiarygodnych i rzeczowych tekstów zgodnie z zasadami medycyny opartej na dowodach naukowych (EBM). Treści te są zawsze oparte na solidnych źródłach, takich jak aktualne badania naukowe czy specjalistyczne publikacje. Zespół łączy profesjonalizm z pasją do ciągłego rozwijania się i chęcią dzielenia się wiedzą, co przekłada się na atrakcyjne i wciągające materiały edukacyjne dla użytkowników.














