- Polecane
- Endokrynologia
- Okulistyka
- Ortopedia
- Stomatologia
- Alergologia
- Kardiologia
- Ginekologia
- Dermatologia
- Neurologia
- Laryngologia
- Urologia
- Pulmonologia
- Diabetologia
- Zdrowie
- Odżywianie i Diety
- Pediatria
- Badania i diagnostyka
- proktologia
- Psychiatria i psychologia
- Reumatologia
- Hematologia
- Onkologia
- Chirurgia
- Czasopismo OSOZ
- Nefrologia
- Gastrologia
- Medycyna estetyczna
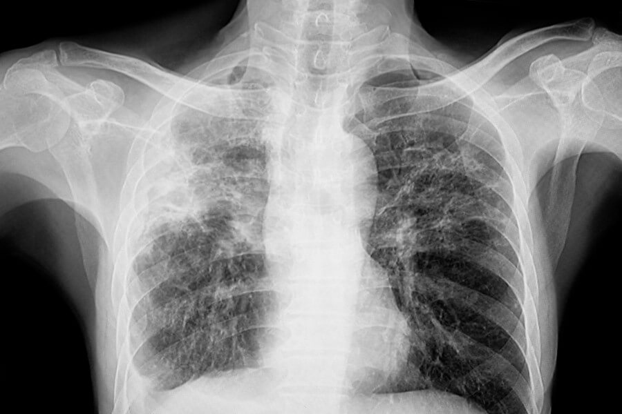
Zwłóknienie płuc — jak się objawia i jak je leczyć? Przyczyny, diagnostyka, rokowania
- Publikacja:
- 2025-09-19 15:05
- Aktualizacja:
- 2025-09-19 15:05
Zwłóknienie płuc, nazywane również idiopatycznym włóknieniem płuc, to choroba charakteryzująca się bliznowaceniem tkanki płucnej. Proces ten prowadzi do stopniowego pogarszania się funkcji oddechowej. Jakie są przyczyny tej choroby, jak się objawia i jak wygląda jej leczenie? Na czym polega diagnostyka i jakie są rokowania po rozpoznaniu zwłóknienia płuc?

Jak się objawia zwłóknienie płuc?
Do głównych objawów zwłóknienia płuc należą:
- duszności;
- ból w klatce piersiowej;
- przewlekły kaszel;
- niekontrolowany spadek masy ciała;
- zgrubienie końcówek palców;
- powtarzające się zmęczenie organizmu;
- niska tolerancja wysiłku fizycznego.
Objawy zwłóknienia płuc zazwyczaj rozwijają się stopniowo i są często niespecyficzne. Choroba ta postępuje powoli, ale może zaostrzać się w krótkim czasie. Przy podejrzeniu zwłóknienia płuc najlepiej zgłosić się do pulmonologa, który jest specjalistą zajmującym się chorobami układu oddechowego.
Pamiętaj, że wizytę u wybranego specjalisty z łatwością umówisz poprzez portal LekarzeBezKolejki.pl.
Sprawdź dostępne terminy wizyt online u lekarza chorób wewnętrznych
Jak leczyć zwłóknienie płuc?
Leczenie zwłóknienia płuc opiera się głównie na spowalnianiu postępu choroby i poprawie jakości życia pacjenta, ponieważ jest to schorzenie przewlekłe i postępujące, którego obecnie nie da się całkowicie wyleczyć. Często pacjenci mylą zwłóknienie płuc z rakiem, a jednak jest to inna dolegliwość polegająca na bliznowacenie tkanki płucnej. W zależności od rodzaju i tempa włóknienia oraz ogólnego stanu chorego, lekarze dobierają odpowiednią terapię. Podstawa leczenia są leki antyfibrotyczne, które hamują proces bliznowacenia w tkance płucnej. Dzięki nim można znacząco spowolnić pogarszanie się funkcji oddechowej i wydłużyć czas, w którym pacjent pozostaje w lepszej kondycji. Leczenie farmakologiczne często prowadzone jest wraz z rehabilitacją oddechową, która uczy chorego technik efektywnego oddychania, wzmacnia mięśnie oddechowe i poprawia tolerancję wysiłku. W bardziej zaawansowanych stadiach choroby stosuje się tlenoterapię, aby utrzymać prawidłowy poziom nasycenia krwi tlenem. Ważne jest także leczenie objawowe poprzez łagodzenie uporczywego kaszlu, kontrolę refluksu żołądkowo-przełykowego, a także zapobieganie infekcjom górnych dróg oddechowych.
Jakie są przyczyny zwłóknienia w płucach?
Zwłóknienie płuc może powstawać w wyniku przewlekłego drażnienia i uszkadzania pęcherzyków płucnych, na przykład poprzez wdychanie szkodliwych substancji. Choroba ta może dotknąć osoby pracujące w środowisku z dużą ilości pleśni i kurzu organicznego. Mamy wtedy do czynienia z tzw. alergicznym zapaleniem pęcherzyków płucnych. Inną grupą przyczyn są choroby autoimmunologiczne, ponieważ organizm z nieznanych powodów zaczyna atakować własną tkankę płucną. Tak dzieje się np. w twardzinie układowej, reumatoidalnym zapaleniu stawów czy toczniu rumieniowatym. W tych schorzeniach włóknienie płuc jest jednym z powikłań układowego procesu zapalnego. W części przypadków nie udaje się znaleźć konkretnej przyczyny — wtedy mamy do czynienia z idiopatycznym włóknieniem płuc, które jest najczęstszą postacią tej choroby.
Jaka jest diagnostyka zwłóknienia płuc?
Diagnostyka zwłóknienia płuc wymaga kilku uzupełniających się badań. Podstawą jest dokładny wywiad lekarski, w którym zawarte są pytania dotyczące objawów, ekspozycji zawodowej, chorobach autoimmunologicznych oraz przyjmowanych lekach. Następnie lekarz wykonuje badanie fizykalne, gdzie charakterystycznym objawem mogą być tzw. trzeszczenia nad dolnymi partiami płuc. Kluczowym badaniem obrazowym jest wysokorozdzielacza tomografia komputerowa klatki piersiowej (HRCT), która pozwala zobaczyć typowe dla zwłóknienia zmiany. Ważna jest też spirometria, która najczęściej wykazuje zmniejszoną objętość płuc i pojemność całkowitą. Dodatkowo bada się gazometrię krwi tętniczej, by ocenić poziom tlenu i dwutlenku węgla. W diagnostyczne przydatne są także badania serologiczne, żeby wykluczyć choroby autoimmunologiczne.
Zwłóknienia płuc — rokowania
Zwłóknienie płuc to postępująca i nieuleczalna choroba o poważnym rokowaniu. Średnia przeżywalność w idiopatycznym włóknieniu płuc wynosi około 3-5 lat od rozpoznania choroby. Leczenie spowalnia chorobę, a przeszczep płuc jest opcją w zaawansowanych przypadkach. Rokowanie zależy od przyczyny, wieku, stopnia zaawansowania i szybkości wdrożenia leczenia.
Bibliografia
- Kałucka, S. (2016). Samoistne włóknienie płuc (SWP) – choroba osób starszych. Geriatria, 10, 105–107.
- Golec, M., i inni. (2007). Śródmiąższowe choroby płuc i zwłóknienie płuc – problem starzejących się społeczeństw. Polski Merkuriusz Lekarski, 23(136), 288–290.
- Fundacja Polskie Towarzystwo Wspierania Chorych na IPF. (2021). Idiopatyczne włóknienie płuc (IPF). Poradnik dla chorych i ich bliskich. https://ipf.org.pl/wp-content/uploads/2021/09/Poradnik_dla_chorych-na-IPF.pdf
Autor
Redakcja lekarzebezkolejki.pl - W skład zespołu redakcyjnego portalu LekarzeBezKolejki.pl wchodzą wykwalifikowani farmaceuci. Ich bogate doświadczenie zawodowe i gruntowna wiedza nabyta na studiach farmaceutycznych umożliwiają tworzenie wiarygodnych i rzeczowych tekstów zgodnie z zasadami medycyny opartej na dowodach naukowych (EBM). Treści te są zawsze oparte na solidnych źródłach, takich jak aktualne badania naukowe czy specjalistyczne publikacje. Zespół łączy profesjonalizm z pasją do ciągłego rozwijania się i chęcią dzielenia się wiedzą, co przekłada się na atrakcyjne i wciągające materiały edukacyjne dla użytkowników.















